Áø·áÈıâ¿Â¶óÀλó´ãÆ÷Åä¾Ù¹ü°øÁö»çÇ×

Ä¿¹Â´ÏƼ

Áø·áÈıâ
¿Â¶óÀλó´ã
Æ÷Åä°¶·¯¸®
°øÁö»çÇ×




Ȩ > Ä¿¹Â´ÏƼ > Æ÷Åä¾Ù¹ü
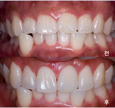
ÀÕ¸ö¼ºÇü ÄÉÀ̽º
5¿ù ºÎ»ê¾ßÀ¯È¸ ´Ù³à¿Ô¾î¿ä..
¾Õ´Ï ÆÄÀýµÇ¾î Å©¶ó¿î¼öº¹
´«¿À´Â 12¿ù(20141212)
¾çÆò ÇÏÀÌÅ· ¾ßÀ¯È¸2014092..